
زراعة الأسنان
تفاصيل أكثرزراعة الأسنان
استبدال الأسنان المفقودة بزرعات ثابتة تدوم طويلًا وتمنحك ابتسامة طبيعية ووظيفة فموية متكاملة.
تفاصيل أكثرأسنان حيوية ... لسنين طويلة
مع أحدث تقنيات طب الأسنان وعناية شخصية مخصصة

اكثر من ٥٠٠ تقييم علي جوجل
سعداء من خدمه العيادة
أفضل عيادة أسنان في المعادي
أحدث التقنيات الطبية وأعلى معايير التعقيم

استبدال الأسنان المفقودة بزرعات ثابتة تدوم طويلًا وتمنحك ابتسامة طبيعية ووظيفة فموية متكاملة.
تفاصيل أكثر
حلول متقدمة لتجميل الأسنان تشمل التبييض، إعادة تشكيل الأسنان، وإخفاء العيوب الظاهرة.
تفاصيل أكثر
تصحيح اعوجاج الأسنان والفكين باستخدام تقويم شفاف أو معدني لتحسين الوظيفة والمظهر.
تفاصيل أكثر
تركيبات ثابتة أو متحركة لتعويض الأسنان المفقودة، مصممة خصيصًا لتناسب حالتك بدقة.
تفاصيل أكثر
علاج التهابات العصب وإنقاذ الأسنان التالفة من الخلع عن طريق تنظيف الجذور وحشوها بمواد طبية آمنة.
تفاصيل أكثر
رعاية متخصصة لأسنان الأطفال تشمل علاج تسوس الأسنان، تخفيف ألم الأسنان عند الطفل، وتقديم نصائح وقائية للأهل. احجز موعدك مع طبيب أسنان أطفال في عيادة توث ميت اليوم!
تفاصيل أكثرخدمات متميزة بأسعار مناسبة
متابعة مستمرة علشان تضمن أفضل نتيجة لابتسامتك
أحدث الأجهزة في طب الأسنان
تقنيات حديثة لنتائج دقيقة وسريعة بدون ألم
معايير تعقيم على أعلى مستوى
نهتم بأدق التفاصيل علشان تكون زيارتك آمنة ومريحة














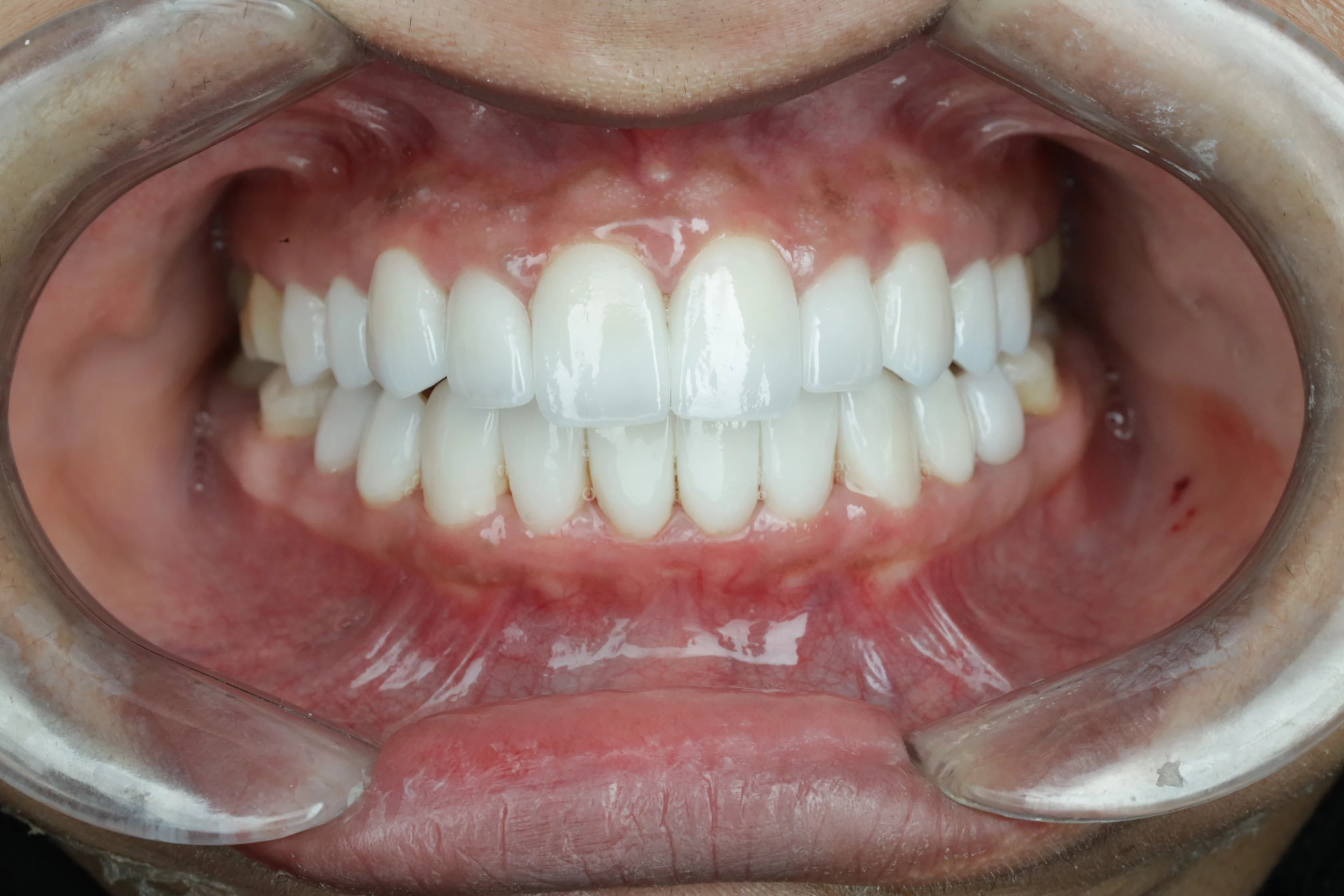
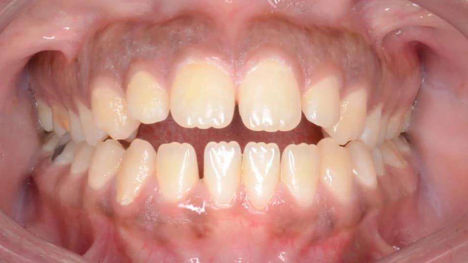
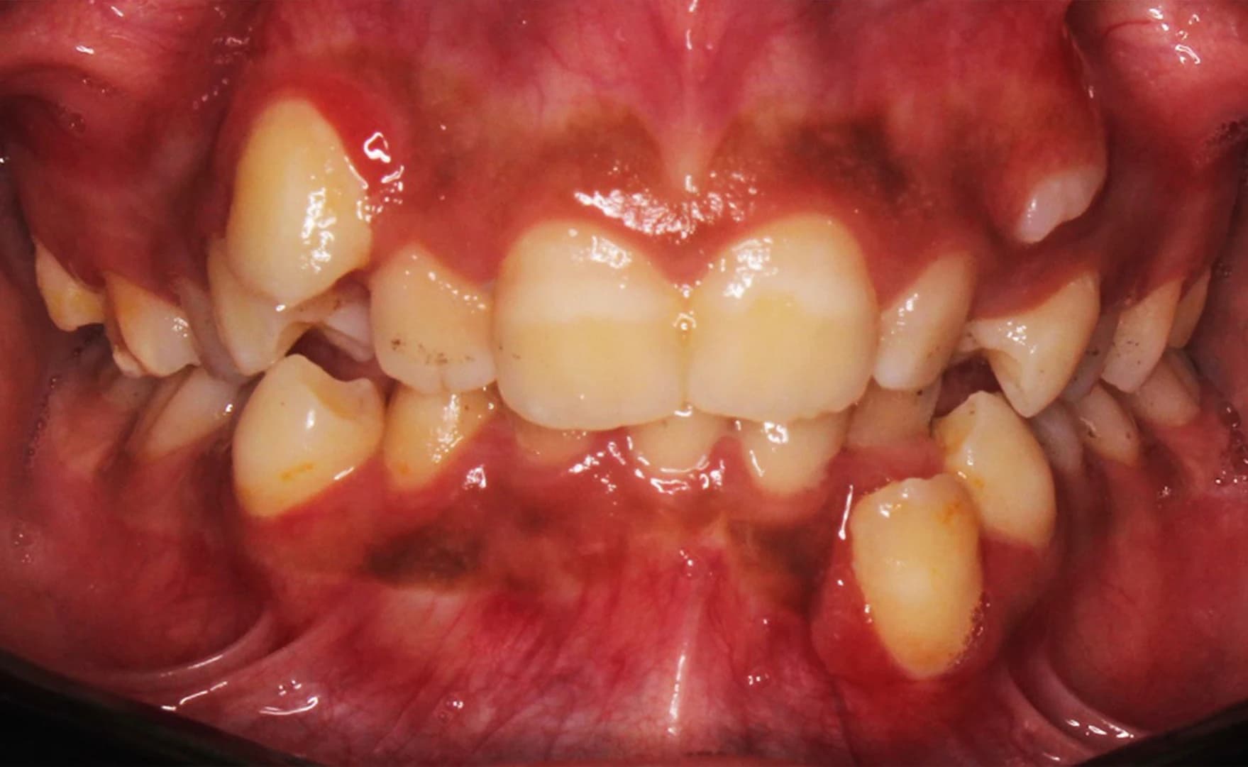
حالات حقيقية من داخل عيادة توث ميت تُظهر الفرق قبل وبعد العلاج












تابع عيادتك في كل مكان
تقدر تتابع وتحجز من أشهر التطبيقات الطبية





كل الأسئلة اللي بتدور في ذهنك...
جاوبنالك عليها
هل لازم أحجز قبل ما أزور العيادة؟
هل في استشارة أولية قبل العلاج؟
هل في خطط دفع أو تقسيط؟
كيف يمكنني حجز موعد في عيادة توث ميت؟
للاستفسارات والحجز.. ابعتلنا وهنتواصل معاك مباشرة

مواعيد العمل:
العنوان: